CE ฝึกใช้กล้องจุลทรรศน์ปฏิบัติการทางทันตกรรม จัดขึ้นเมื่อเดือนตุลาที่ผ่านมา โดยหน่วย CE คณะทันตแพทยศาสตร์ CU ครับ

จัดขึ้นที่ Virtual lab ซึ่งตั้งอยู่บนชั้น 10 อาคารคณะทันตแพทยศาสตร์เฉลิมนวมราช 80 (คืออาคารข้างๆ ห้องสมุดหลังเก่า สมัยก่อนเป็นอาคาร lecture ครับ)
จุดประสงค์ของท่านอาจารย์เพื่อสร้างความคุ้นเคยกับการใช้ MC แต่สำหรับผม คือการได้สัมผัส MC อย่างจริงจังเป็นครั้งแรก
ย้อนกลับไปสมัยโบราณกาลก่อน ผมเห็นกล้องแบบนี้ครั้งแรกตอนที่ท่านอาจารย์ให้ไป consult case ที่ภาค Endo ครับ ตอนที่ลงไปตามหาท่านอาจารย์ ชุติมา มังกรกาญจน์ ผมไปพบท่านขณะที่กำลังใช้ MC กับคนไข้อยู่ ดูล้ำมากในเวลานั้น
หน้าตาของ MC ที่เราจะได้ใช้กัน (Lab แรกคือการฝึกปรับกำลังขยายของกล้องกับ เหรียญ 5 บาทครับ)
เหมือนผมจะพูดถึงแต่ MC ที่จริงแล้ว lab นี้ฝึกการใช้หัว Ultrasonics ด้วย มันต่างจาก Ultrasonics ที่คุ้นเคยในงาน Perio คือ ตัวนี้มันตัดเนื้อฟันได้เหมือนหัว diamond airoter เลยครับ ช่วงภาคบ่ายเป็น lab รื้อเครื่องมือที่หักใน canal และการฝึก repair รูทะลุบริเวณ Pulpal floor

ใน AAE 2014 การใช้ MC จัดอยู่ใน Standard practice ไปแล้ว (ในหัวข้อ Magnification)
ท่านที่สนใจอ่านต่อ download ได้ที่นี่ครับ


ประโยชน์หลักของ MC คือ 1.กำลังขยาย เพื่อการแยกแยะ 2. illumination เพื่อขจัดความมืด (การ OCD ผ่านครอบฟัน) 3.การ record ข้อมูลจากกล้องด้วย function VDO

ประโยชน์แฝงของ MC ทำให้การทำงานกลับสู่ Ergonomic
การทำงานในตำแหน่ง Operator อยู่ใน upright position

ทำให้อายุการทำงานของหมออยู่ได้นานขึ้น ไม่ต้องเกษียณก่อนเวลาอันควร
ยิ่งในอนาคตเข้าสู่สังคมผู้สูงอายุ ปริมาณคนไข้จะมากขึ้น ทันตแพทย์ยิ่งต้องมีอายุการทำงานที่นาน

รูปนี้เปรียบเทียบการมองแบบใช้ Loop (แว่นขยาย 2ตา) กับ MC
Loop จะมีข้อจำกัดเรื่องกำลังขยายและ field of view จากรูปลำแสงไม่ Co-axial ในขณะที่ MC ที่ใช้ระบบ Galilean optics ใช้แหล่งกำเนิดแสงที่มี light path อยู่ในทิศทางเดียวกับ optical path จึงให้ความสว่างมากกว่า

จากรูปสำหรับ MC แสงจะเข้า 2 ตาเท่ากัน จึงช่วยลดความล้าของสายตา และ ไม่เกิดความตึงของศรีษะ คอ และหลัง
เริ่มกันที่ ตัว Body
แบ่งเป็นแบบ Wall type ใช้ติดผนัง ไม่เปลืองที่, แบบ Floor stand มีขาลากเลื่อนตำแหน่งได้ และ แบบ Table mount ที่เห็นในรูป

ถึงจะ fix กับโต๊ะ แต่การลากแขนไปมาต้องระวัง ไม่ดึงกล้องออกมามากเกินกว่าศูนย์ CG ไม่งั้นอาจมีล้ม

ส่วนของ Beam splitter จะทำหน้าที่ 2 อย่าง 1.คือ ใช้แยกลำแสงออกไปเข้ากล้อง VDO และ 2.แยกลำแสงต่อออกไปเพื่อให้ ผู้ช่วย สามารถกมองเห็นด้วย แต่เนื่องจากปัจจุบันด้วยตัวกล้องเองจะมี function VDO ในตัวเอง และยังต่อออกจอ monitor ได้ ผู้ช่วยจึงมองที่จอภายนอกได้สะดวกกว่าการต้องมองที่ field โดยตรง
Beam splitter จึงลดบทบาทในปัจจุบัน

ในรูป assist อยู่ในเสื้อเหลือง กำลังมองผ่าน Beam splitter
ท่านอาจารย์ที่ยืนคือ Dr.Syngcuk Kim
ส่วนที่เป็นหัวใจที่อยู่ใน MC body คือ Optical components
ประกอบตัว เลนส์ตา, ตัวเปลี่ยนกำลังขยาย และ เลนส์วัตถุ

ตัวเปลี่ยนกำลังขยาย (Magnification changer)
แล้วแต่ยี่ห้อ อาจเปลี่ยนเป็น step แบบ 3 step หรือ 5 step หรือแบบหมุน Zoom ได้ต่อเนื่อง
แสดงส่วน Objective len
ในรูป MC ที่เห็นมี Objective lens เป็นชนิด Varioscope คือ ปรับ focal length ได้ตั้งแต่ 200 –> 300 จึงใช้กับ Operator ได้หลายคน เพราะหมอแต่ละคนมีความสูงต่างกัน, ความยาวของช่วงแขนต่างกัน
ตัวเลขนี้ถ้ายิ่งมีค่ามาก (เช่น 400) depth of field จะยิ่งน้อยลง magnification น้อยลง

แสดงการปรับ focal length ยิ่งน้อย สำหรับ Operator ที่ตัวเตี้ย ช่วงแขนสั้น ระยะเลนส์วัตถุใกล้ผู้ป่วยมาก depth of field จะเพิ่มขึ้น และกำลังขยายจะมากขึ้นด้วย

แสดง MC ที่มีเลนส์วัตถุชนิด Varioscope
(พอดีตัวที่ผมได้ฝึกใช้เป็นแบบ Varioscope พอดีครับ เลยเก็บรูปมาให้ดู)
แสดง สมการของการหาค่า Magnification ครับ
จากรูป ตัว Focal length ของ Objective lens จะเป็นตัวหารนะครับ
(ดังนั้นยิ่งค่านี้มาก จึงทำให้ตัว Magnification ยิ่งมีค่าลดลง)

จากตัวแปรทั้ง 4 ตัว สังเกตว่า ค่าที่เรา (Operator) สามารถปรับได้มีเพียงตัวเดียว คือ การหมุนตัว Magnification changer ครับ
จากรูป ถ้าเราหมุน Magnification changer มาที่ 0.4 จะได้ค่า Magnification = 3.4
การปรับจาก 0.4 เพิ่มขึ้น ค่า Magnification จะมากขึ้นตามไปด้วย

250 คือ ค่า Standard ของ focal length เลนส์วัตถุ (อาจเป็น 200,300,400 หรือ Varioscope)

ถ้าปรับ Changer ไปที่ 0.4 ภาพที่เห็นมันจะออกมาประมาณนี้ครับ

ปรับเป็น 0.6
ปรับเป็น 1 กำลังดี สำหรับใช้งานทั่วไป จะเริ่มเห็น external tooth surface ไม่ชัด จะชัดเฉพาะใน Chamber
จะเห็นว่า ยิ่งปรับ Changer มันจะเห็นชัดในส่วนที่ลึกขึ้น (Depth of field น้อยลง) แต่ขอบรอบนอกจะเบลอลงเรื่อยๆครับ (เรียก Field of view น้อยลง)

ถ้าใช้ระดับ 2.5 นี่คือ ใช้หารอย Crack ละ

สรุป การใช้งานการปรับ Changer ตั้งแต่ 0.4 –> 2.5
ค่า 0.4 คือ เราจะใช้ตั้ง MC ตอนเริ่มแรกครับ หลังจาก fix ทุกส่วนได้หมดแล้วเห็นภาพชัด เราจะไม่ขยับ handle อีกเลย แต่จะปรับเฉพาะ Magnification changer เพื่อมองให้ชัดลึกเข้าไปอย่างเดียวเท่านั้น

การทำ Parfocal adjustment คือการปรับกล้องโดยเปลี่ยนกำลังขยาย จาก สูง–>ต่ำ โดยไม่ต้องปรับกล้องขึ้นหรือลงอีก
Lab นี้จะใช้เหรียญ 5 บาทเป็นวัตุครับ

ก่อนใช้งาน ต้องทำ Parfocal ก่อนทุกครั้ง



ปรับเลนส์ตาให้พอดีกับระยะห่างของตาทั้ง 2 ข้างก่อน
ตอนนี้ปรับให้วัตถุอยู่ใน field of view โดยใช้ Changer ต่ำสุด
ต่อมาปรับไปที่กำลังขยายสูงสุด จนเห็นวัตถุชัด แล้วลดกำลังขยายลงมาต่ำสุด

ผมเริ่มขยับ Handle ของ MC จนเห็นวัตถุอยู่ใน field

ปรับระยะห่างของเลนส์ตาให้พอดีกับลูกตา

ปรับกำลังขยายจากสูงหมุนมาต่ำ จนเห็นชัดทุกระยะกำลังขยาย
เสร็จแล้วครับ
ผมเป็นรุ่นที่ไม่ทันการฝึกใน phantom head ครับ นี่จึงเป็นครั้งแรกในชีวิตกับการใช้ phantom head
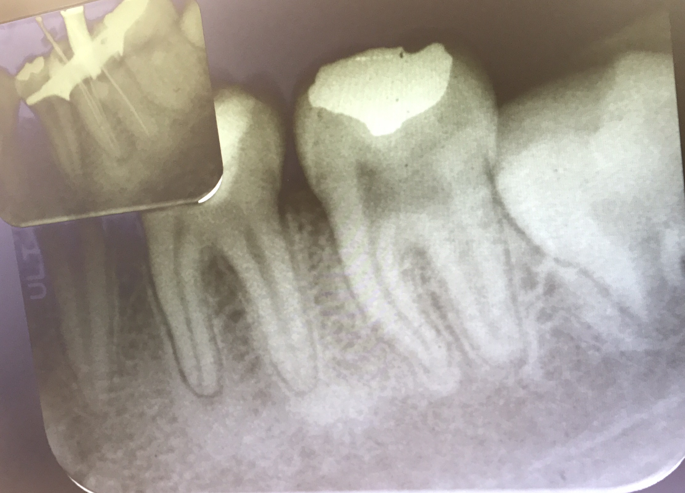
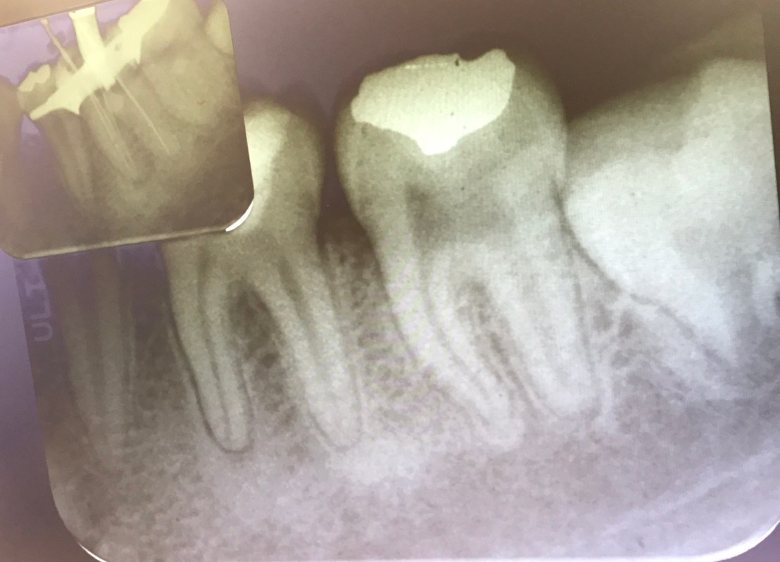
ฟัน #36, 46 คือฟันที่ท่านอาจารย์เตรียมไว้ให้สำหรับการฝึกการรื้อเครื่องมือและการซ่อมรอย perforate ในช่วงบ่าย

เสมือนจริงมากๆ กรอจริง น้ำจริง เปียกจริง
ปกติความเคยชินกับการทำงานโดยไม่ใช้ MC เราจะเห็น Field of view กว้างมากครับ มองได้ทั่วทั้งปาก
แต่การใช้ MC ทำให้เรามองสิ่งที่เล็กได้ชัด แต่ Field of view แคบลง
ถ้าเราทำงานด้วย Airoter handpiece แบบเดิม Field ที่แคบอยู่แล้วจะถูกบดบังมากขึ้นไปอีก ประโยชน์ของหัว Ultrasonic tip จึงถูกนำมาใช้เพื่อการนี้ โดยเฉพาะ
จากรูปจะเห็นขนาดที่ต่างกันประมาณ 100 เท่า
เทียบการบดบัง Field
ชนิด Piezoelectric จะให้ความร้อนออกมาน้อยกว่า
แสดงการก่อกระแสน้ำวน (Acoustic streaming)

case แสดง Root canal retreatment ฟันซี่นี้มี Post หักที่ Distal root

หัว Ultrasonic tip มีหลายแบบ หลายขนาด ต้องเลือกให้เหมาะกับงาน

แบ่งตามรูปร่าง Ball tip กับ Spreader tip


อันนี้ให้ดูของจริงที่ใช้ฝึกครับ ตัวแรกเป็น Diamond coat คมมาก เหมือนหัวกรอปกติเลย กินเนื้อฟันค่อนข้างมาก
ตัวกลางเป็น Ball tip ที่มี diamond coat

การใช้งานของหัว Ball tip
ในฟันที่มี Pulp stone นี่ ของชอบเลย

หัวที่นำมาให้ใช้ฝึก ค่อนข้างครบเลยครับ

ตัวนี้ผมประทับใจมาก ความคมของมันใช้ prep cavity ได้เลย และเพราะเป็น Ultrasonic น้ำหนักจึงเบามาก control ได้ง่าย ไม่เมื่อยล้า

หัวนี้ใช้รื้อเครื่องมือที่หักครับ ปลายเล็ก precise มาก

ถ้ารื้อแล้ว เครื่องมือที่หักเริ่มขยับ ใช้ตัวนี้รับช่วงต่อได้

case นี้คือ Overheat จากการใช้ Ultrasonic รื้อ Post ครับ เหงือก burn ไปเลย
จึงมีคำแนะนำว่า ควรใช้เป็นช่วงสั้นๆ แตะครั้งละไม่เกิน 10 วินาที และใช้น้ำเป็น coolant ร่วมด้วย
งานที่ใช้เยอะมาก การ Locate canal หา MB2
ก่อนอื่นต้องมี Mind set ในใจก่อน ว่าฟันซี่นี้ควรมีกี่ canal?

ข้อจำกัดของมนุษย์คือ ระดับการแยกแยะด้วยตาเปล่าอยู่ที่ 0.2 มม.

แต่ถ้าใช้ Loop 4x ระดับการแยกแยะจะเพิ่มเป็น 0.05 มม. (คือ ดีกว่าตาเปล่า 4 เท่า)

และถ้าใช้ MC 6x ระดับการแยกแยะเพิ่มเป็น 0.036 มม. (ดีกว่าตาเปล่าเกือบ 6 เท่า และดีกว่า Loop อีกเท่าตัว)

อย่างที่บอก ท่านอาจารย์แนะนำว่า ควรมี Mind set ไว้ในใจว่า ฟัน molar บน จะมี MB2 อยู่ในตำแหน่งที่ค่อนมาทาง Palatal ต่อ MB1 เล็กน้อย


ฟันที่มี MB2 อยู่ที่ 95.2% (ซึ่งจะเห็นว่าเยอะมาก)

ถ้าเราใช้ตาเปล่าหา MB2 จะมีโอกาสเจอที่ 17.2%
แต่ถ้าใช้ MC จะมีโอกาสหาเจอเพิ่มขึ้นเป็น 71.1%

ตำแหน่ง MB2 จะห่างจาก MB1 ไม่มาก

อันนี้ใช้วิธีดูจากฟองอากาศขณะ IR ที่เกิดบริเวณ orifice ครับ



กฎในการหาตำแหน่งจาก paper นี้ครับ

ทิศทางการกรอ จะไม่ remove ส่วน floor ครับ แต่กำจัดเฉพาะส่วนที่ Calcified
ลองสังเกตเส้นที่ลาก ตำแหน่งของ MB2 จะอยู่ mesial ต่อเส้นนี้ที่ระยะประมาณ 1-2.5 มม.

แนวเส้นประสีแดง คือ บริเวณที่จะพบ MB2

แสดง Color code ของ Ultrasonic tip

สังเกตตัวเลขที่เยอะขึ้น คือ ขนาดปลาย tip ที่เล็กลงนะครับ

มี VDO demon การใช้งานมาฝากนิดหน่อยครับ แสดงวิธี Locate canal
Lecture ต่อมา คือหลักการซ่อมแซม perforate
Definition
การ Dx เช่น Apex locator ร้องก่อนถึง WL , ลักษณะเหงือกบริเวณใกล้ปลายรากจะปกติ แต่บริเวณ crestal bone จะแย่ลง เป็นต้น

อันนี้คือ case จริงครับ ส่วนที่ Outline ไว้ตรงกลางคือ รอย Perforate

repair ใช้ MTA และ wet cotton (เพื่อให้ set)

อีก case
จุดสีเหลือง คือ canal ที่ถูกต้อง


วงกลมสีแดง แสดงส่วนที่ถูก repair ด้วย MTA

การ repair โดยใช้ Internal matrix

Internal matrix คือการใช้วัสดุปิดชั้นแรกสุดเข้าไปก่อน เพือป้องกันวัสดุอีกตัวที่ใช้ repair ไม่ให้รั่วไหลออกมา

วัสดุที่ใช้เป็น matrix ชั้นแรก Collaplug
เนื่องจากขนาดของมันใหญ่กว่ารอยทะลุครับ ต้องมีการตัดออกให้พอดี
หน้าที่คือ stop bleed เป็น matrix ล้อมรอบ MTA หรือ Biodentine ไว้ ไม่ให้ออกนอก canal

และวัสดุที่ใส่ลงไปเป็นชั้นที่ 2

ให้สังเกต ส่วนประกอบตัวนึงของ MTA คือ Bismuth oxide ทำให้ฟัน discolor ได้ครับ การใช้ในฟันหน้าต้องระวังมาก

ปัจจุบัน Biodentine เป็นที่นิยมมากกว่า MTA


ใน Lab นี้มีการใช้ Biodentine ตัวจริงกันเลยครับ

แกะกล่อง เข้าเครื่องปั่น amalgam แบบนี้เลย ทุ่มทุนมาก

แสดงข้อได้เปรียบของ Biodentine สังเกต Setting time และค่า Compressive strength
ใช้ Radiopaque material ตัวที่ต่างจาก MTA
(อย่าลืมว่า Working time ของ Biodentine สั้นกว่า MTA มากนะครับ การทำงานกับมันต้องค่อนข้างเร็ว)

การนำวัสดุ repair load เข้าสู่ตำแหน่ง

ถ้าใช้ Amalgam carrier ต้องไม่ใช้ร่วมกับ Amalgam

อันนี้คือ แบบฝึกหัดใน lab ครับ


ในความเห็นผม การ remove เครื่องมือที่หัก ยากสุดครับ และการ locate MB2 และ ซ่อม perforate ง่ายสุดครับ


อาหารกลางวันอร่อยมาก ให้ 8/10 แต่ไม่ค่อยมีคนขึ้นมากินครับ ส่วนใหญ่จะง่วนอยู่กับเครื่องมือ
เป็น Hand-on ที่เพลินมาก ถึงขนาดท่านอาจารย์ต้องขอร้องให้พักมากินข้าว กินเบรคกันเลยทีเดียว
น่าจะเป็นงานแรกที่ผมเจอครับ การขอร้องให้หยุดมากินเบรค (เวลากินถูก fix ไว้ ถ้าไม่มาตามเวลา อาหารและเครื่องดื่มจะถูกเก็บ)

เห็นเป็นอาหารพื้นๆ แต่อร่อยมาก

บัวลอยนี่เอาไป 9/10 เลย
ว่าจะถามอาจารย์ว่า สั่งมาจากเจ้าไหน เผื่อจะตามไปกินครับ

Lecture เรื่อง remove เครื่องมือที่ broken สั้นมาก

อุบัติการค่อนข้าง vary
Paper นี้บอก success rate ไม่ต่างกันเลย

แต่พบว่า ในฟันที่มี lesion success จะ drop ลงประมาณ 20%

ถ้าเครื่องมือหักเลย curve การรื้อออกจะยากมาก

คือ ถ้าไม่สามารถมองเห็นเครื่องมือ และ bypass ไม่ได้นี่ เรียกว่า หมดสิทธิ์รื้อเลยครับ

หลักการรื้อ มี 3 ข้อ (เท่านี้จริงๆ)
การทำ Platform staging คือการทำให้เกิด Straight access ครับ

การเลือกใช้ Ultrasonic tip
แนวเส้นสีแดง คือ Coronal access

การเคลื่อนของเครื่องมือในทิศทวนเข็มนาฬิกา
ในสมัยก่อน การทำ Staging platform ใช้ Gates glidden drill

แสดงการเกิด space รอบๆ เครื่องมือที่หัก จากปลาย tip ของ ET20 ทำให้เกิด small groove

ความยากของการรื้อ fiber post คือ สีที่เหมือนเนื้อฟัน
การรื้อจะไม่ใช้น้ำ และพยายามกรอให้ถูกทิศทาง

การรื้อจะใช้ 2 ขั้นตอน คือ modified coronal (Wall refinement) ก่อน แล้วจึง drill ลงไปอีกครั้ง


























































One thought on “รีวิว Hand-on MC”