ปกติ Textbook กว่าจะได้อ่านจะมีอายุค่อนข้างนานกว่าจะได้ตีพิมพ์ กว่าจะขาย กว่าจะรอลดราคา จนผมได้อ่าน แต่สำหรับเล่มนี้นั้นไม่ใช่ เพราะมีความพิเศษอยู่ประการหนึ่ง
หนังสือเพิ่งพิมพ์ออกมาเมื่อต้นปี 2017 เขียนโดยท่านอาจารย์ 2 ท่านครับ

ความน่าสนใจคือ ท่านอาจารย์ Misch ได้เสียชีวิตก่อนหนังสือออกประมาณ 2 เดือนด้วยโรค Brain CA ขณะอายุ 69 ปี

หนังสือจึงอยู่ในความดูแลของท่านอาจารย์ Resnik จนออกมาเป็นรูปเล่มสมบูรณ์
ในคำนำจึงมีส่วนของ “ด้วยความระลึกถึง” เป็นส่วนที่เพิ่มขึ้นมาก่อนเข้าสู่เนื้อหาหลัก ในส่วนนี้จะกล่าวถึงประวัติอย่างย่อ และผลงานหนังสือของท่านอาจารย์ Misch ทั้ง 3 เล่ม (รวมทั้งเล่มนี้)

ถ้าเราลองมองดูสารบัญทั้ง 19 บท เราสามารถแยกโครงสร้างหนังสือได้ใหม่

โดยแยกตาม Scope ของงานที่เกี่ยวข้องได้ดังนี้ครับ

หนังสือเล่มนี้จริงๆ แล้วคือ บทสรุปของหนังสือทั้ง 2 เล่มที่ออกมาก่อนหน้า มีเนื้อหาที่ถูกดึงออกมารวมกันไว้ และเพิ่มเติมเข้าไป
นั่นหมายความว่า ถ้าอ่านทำความเข้าในเล่มนี้เล่มเดียว ก็สามารถเข้าถึงเนื้อหามากกว่า 70% ของหนังสือ Contemporary Implant Dentistry และหนังสือ Dental Implant Prosthetics ได้เลยครับ


(ตลอดการรีวิวของผม คำอธิบายรูป จะวางไว้ด้านบนของรูปทุกรูปครับ)
เนื่องจากมีเนื้อหามาก เพื่อความสะดวกในการ Scroll อ่าน ผมจึงของแยกการรีวิวออกเป็น 2 part ครับ
Part ที่ท่านกำลังอ่านอยู่นี้คือ ส่วนที่ว่าด้วย Complications จากงาน Surg (อาจมี Pros ปนเป็นบางส่วน เพราะเป็นการพูดถึง effect ที่ต่อเนื่องมาถึงกัน) ส่วนเรื่อง Complications จาก Pros ผมขอแยกไว้อีก part ต่างหากครับ
เนื้อหาทั้งหมดที่เห็นคือ เนื้อหาบางส่วน (ประมาณ 10% ของหนังสือทั้งเล่ม) ผมดึงมาเฉพาะส่วนที่น่าสนใจครับ
บทที่ 1 จะพูดถึงจุดมุ่งหมายของหนังสือ ที่ไม่ได้เขียนเพื่อหาวิธีแก้ไขสิ่งผิดพลาดที่เกิดขึ้นแล้วเป็นหลัก แต่ในทางตรงข้าม หัวใจของการทำหนังสือเล่มนี้ คือ การป้องกันไม่ให้คุณหมอก้าวไปสู่เส้นทางที่ผิดพลาดครับ

การ Classify Complication หลักๆ คือ การแบ่งตาม difficulty หรือ severity ที่ Reversible ได้หรือไม่?
ข้อแนะนำของท่านอาจารย์สำหรับการป้องกันคือ การศึกษาเพิ่มเติมเสมอ, หมั่นเข้าประชุม update ความรู้, อ่านหนังสือ-journal, ข้อมูลที่ละเอียดของคนไข้, การไม่พยายามลัดขั้นตอนการทำงาน, มองไปที่ treatment plan ที่ให้ผล long term success และสุดท้ายคือให้ความสำคัญต่อการ F/U

บทที่ 2 Complication ที่มีผลในขั้นตอน Surgery พูดถึงทั้ง Absolute contraindication และ Relative contra
Absolute contra คือ ห้ามทำเด็ดขาด ส่วน Relative contra คือ ทำได้แต่ต้องระวังมากๆ และชั่งน้ำหนักให้ดีว่าเกิดผลดีมากกว่าความเสี่ยงที่จะเกิดอันตราย

บทนี้จะเรียกว่า เป็นการ review โรคทางระบบที่เป็น Contra ก็ได้ครับ

แต่ละระบบสังเกตว่า จะมี Questionnaire นำมาก่อน คำถามพวกนี้สามารถนำมาใช้เป็น Checklist จริงในคลินิกได้เลย

ตัวอย่างครับ
ในคนไข้ Pulmonary system ที่ต้องต้องคิดถึงขั้นตอนการ sedation และใช้ยาชาที่มี adrenergic agonist effect, การใช้ Nitrous Oxide ในคนไข้ COPD ที่อาจนำไปสู่การกด respi

ข้อคำนึงในการฝัง Implant ในคนไข้ที่ผ่านขบวนการรังสีรักษา (แยกกับรังสีวินิจฉัยนะครับ ไม่เกี่ยวกัน)

บทที่ 3 คือการประเมิน Treatment plan ผิดพลาด
มุมมองของท่านอาจารย์คือ การมอง Final Prosthesis ไม่ออกครับ หมายถึง ก่อนจะวางแผนทาง Surgery หมอต้องให้ Prosthesis treatment plan มาเป็นอันดับแรกก่อน

ยกตัวอย่างเช่น ถ้าจะเอา Fix Prosthesis จะเลือกได้สัมพันธ์กับลักษณะของ Bone ที่ปรากฏหรือไม่?
FP-1 คือ fix pros เป็น single crown ที่แทนที่เฉพาะ clinical crown
FP-2 ตัว crown จะรวม root บางส่วน
FP-3 จะต้องคิดถึงส่วนที่ทดแทน alveolar process เหมือน removable prosthesis

แสดงปริมาณ Bone ที่เราต้องคำนึงใน 3 มิติ ที่นอกจากจะมีผลต่อ diameter และความยาวของ Implant แล้ว ยังต้องคำนึงถึง angulation ของแรงที่ทำต่อ Implant ด้วย

รูปนี้อธิบายในบริเวณ anterior mandible ซึ่งเป็นตำแหน่ง ideal ต่อการฝังมาก เพราะมักมีคุณภาพและปริมาณ cortical bone ที่ดี แต่จากทิศทางการ resorp การวางตำแหน่งก็อดจะไปทางชนด้าน ligual cortical plate ไม่ได้
เพราะ pattern การ resorp ที่มาจาก buccal จึงเกิด angulation ที่ต้องระวัง

ท่านอาจารย์ Misch จะแบ่งคุณภาพของ Bone เป็น division ตามปริมาณของ Bone ที่มีอยู่ (ในหนังสือ Dental Implant Pros) เป็น division A,B,C,D
ส่วน Prosthodontic Classification จะแบ่งออกเป็น FP-1,FP-2,FP-3,RP-4,RP5
FP-1,FP-2,FP3 คือ Fixed Prosthesis
RP-4,RP-5 คือ Removable Pros ครับ
(จำ Classification ของ Pros ให้ดีครับ เพราะจะใช้ไปทั้งเล่ม)

รูปนี้อธิบายการจัดการกับ Bone division B ได้ 2 แบบครับ แล้วแต่ Tx
รูปแรกคือ เลือกใช้ Pros ชนิด FP-1 แต่เลือก Implant ที่ diameter เล็กลง
หรือ ทำ Osteoplasty ให้สันเหงือกแบบ division A แต่ชดเชยด้วยการใช้ Pros ชนิด FP-3

ถ้าจำได้ ข้อพิจารณาข้อแรก คือ ต้องให้การวางแผน Pros เป็นมุมมองแรกก่อน
รูปนี้ แสดง failure จากการวาง 1 Implant เพื่อแทนการใส่ฟันซี่ 6 แต่ด้วยขนาดความกว้างในแนว mesio-distal ที่กว้างเพื่อชดเชย space ที่เกิดขึ้น จึงเกิด คานงัด (Cantilever effect) จนเกิด Implant Fx ภายในระยะเวลา 2 ปีหลังทำ

อธิบาย Canine rule = ถ้าเมื่อใดที่ Canine missing ให้เพิ่มจำนวน Implant (ห้ามเพิ่ม diameter เพราะจะเกิด Cantiver ในบริเวณนี้ไม่ได้)
ความหมายคือ ถ้ามี Space ที่กว้าง ถ้าให้ทางเลือกระหว่างการขยายขนาด diameter ของ Implant กับ การเพิ่มจำนวน Implant —> ให้เราเลือกการเพิ่มจำนวน Implant จะปลอดภัยในระยะยาวที่สุดครับ

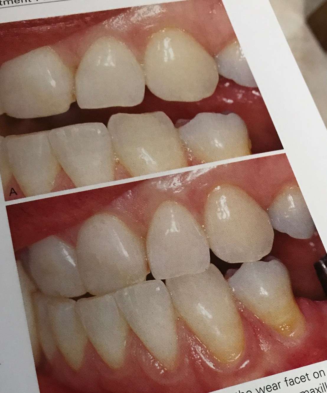
แสดงการสึกของ Canine ล่าง และ notch ที่ฟันคู่สบ 22 –> มี Bruxism
รูปล่าง เวลาทำ Working contact พบ Canine บนสบกับ 34 และสังเกตว่า คอฟันซี่ 34 เกิด abfraction–> แสดงถึง Parafunction
ดังนั้นเวลาที่เราต้องทำ Pros ในฟันหลัง จะต้องปรับแต่งการสบฟัน ไม่ให้เกิดลักษณะนี้ด้วย

ในคนไข้ที่มีฟันหน้าล่างสึก (Bruxism) แบบนี้ เราต้อง restore ฟันหน้าล่างขึ้นมาก่อน เพื่อให้เกิด Anterior guidance ที่ปกติ จึงจะสร้าง Prosthesis ในฟันหลังได้ (หมายความว่า ถ้าเราสร้าง Pros ขึ้นมาโดยไม่สนตำแหน่งฟันหน้า Pros จะ failure ไปด้วย)

รูปแสดง Cantilever ที่ load ใน Implant โดยสัมพันธ์กับความสูงของ clinical crown
ระนาบการหมุนจะเกิดใน 3 ระนาบ
และในแต่ละระนาบจะหมุนได้ 2 ทิศ คือ ตามเข็มและทวนเข็ม
ดังนั้นถ้าเกิด Cantilever ใน Implant เมื่อใด มันจะเกิดการหมุนได้ทั้งหมด 6 ทิศ (ใน 3 แกนหมุน) คือ บน,ล่าง,หน้า(facial),หลัง(lingual),ซ้าย(mesial),ขวา(distal)

ในบทนี้มีการทบทวนพื้นฐานของ Bone

รูปนี้ดังมาก สมัยก่อน เพราะเป็นภาพจากกล้องจุลทรรศน์(ธรรมดา) ที่แสดง microscopic ของการเกิด Osseointegration คือ เกิดการ contact ของ Bone-Implant ในระดับที่ใช้กล้องส่องจึงจะยอมรับว่าเกิด Osseointegrate ขึ้นจริง (ตาม Definition ในสมัยนั้น)

รูปแสดง mini-implant เทียบกับ Standard

เหมือนท่านอาจารย์จะไม่ค่อยชอบ mini-implant นะครับ เขียน Disadvantages ของ mini-implant เยอะมาก

สังเกตว่า mini-implant จะมี diameter เล็กกว่าปกติ ดังนั้นจึงไม่สามารถทำส่วนต่อกับ abutment ได้เหมือนระบบปกติ (มี screw ยึด Abutment part) จึงทำเป็นแบบ One-piece มาเลย

ในทางเชิงกล mini-implant จะมี bending fx resistance และ fatigue fx น้อยกว่า implant ที่มี diameter 4 มม. ประมาณ 16 เท่า มันจึง fracture ง่ายกว่า

รูปแสดงการ Splint Implant กับฟันธรรมชาติ ที่เกิด failure จากความไม่ไปด้วยกันของการ movement ที่ต่างกัน คือ ฟันธรรมชาติมีแนวโน้มจะ ขยับ มากกว่า และยิ่งถ้าเกิด lateral movement ก็ยิ่งเคลื่อนได้มากจน Cement และ abutment loose

ภาพนี้ Classic มาก ใช้อธิบายให้คนไข้และเด็กๆ undergraduate เข้าใจได้ดี เพื่อขจัดความสับสนของคำว่า Bone loss ในทาง Perio กับ Bone loss ในทาง Pros ว่าจริงๆ แล้ว ฟันปลอมใส่เพื่อทดแทน Bone มากกว่าใส่เพื่อทดแทนฟัน(เท่านั้น) เพราะส่วน Pink acrylic denture base ทดแทนมิติในแนวดิ่งที่ loss ไปของใบหน้ามากกว่าซี่ฟันปลอมซะอีก (ในทาง Perio หมายถึง Alveolar bone loss เท่านั้น แต่ Pros จะหมายถึง Alveolar process+Basal bone loss)

บทที่ 4 ข้อผิดพลาดที่เกิดจากประเมินข้อมูลทาง X-ray ผิดพลาด
ถ้าสังเกตภาพ x-ray ในหนังสือเล่มนี้ ส่วนใหญ่จะเป็นภาพจาก CBCT ครับ จาก เครื่อง intra-oral และ OPG พบได้น้อยมาก. เรียกว่า CBCT เป็น routine ไปเลย

อธิบายความรู้พื้นฐานการเกิดภาพของ CBCT
ปกติเราจะคุ้นกับคำว่า pixel ซึ่งเป็นการเกิดภาพใน 2 มิติ ในรูปคือ แกน x และ y
แต่ภาพจาก CBCT จะใช้คำว่า voxel คือมีความลึกในแนวแกน z เพิ่มมา ในการสร้างเม็ดภาพ
ยิ่ง voxel มีขนาดเล็ก ความละเอียดของภาพจะยิ่งสูง แต่คนไข้ก็จะ expose รังสีปริมาณ dose rate สูงขึ้นตามไปด้วย
ในทาง Implant จะใช้ voxel size ที่ 0.2-0.3 มม. ถือว่าเหมาะสมที่สุดครับ (ถ้ามากกว่าค่า 0.3 จะแยก anatomical object ที่อยู่ติดกันได้ยาก) และถ้าน้อยกว่า 0.2 มม. ก็ถือว่า risk จาก X-ray dose ที่คนไข้ได้รับมากเกินไป

นอกจากขนาด voxel ที่เหมาะสม การเลือก Field Of View ที่พอดีต่อการครอบคลุมบริเวณที่ต้องการยังช่วยให้ได้ข้อมูลที่เพียงพอ และช่วยลดปริมาณ dose ที่คนไข้จะได้รับด้วย

CBCT แสดงการ locate Mandibular canal
รูป A ภาคตัดขวางแสดง Mand canal มีขอบ calcify สีขาวล้อมรอบชัดเจน
รูป B ประมาณ 30% ของผู้ป่วย เราจะไม่พบ cortical bone lining รอบ canal เหมือนในรูป A ครับ
รูป C และ D คือ Panoramic view ของ CBCT

รูปแสดง Mucocele ที่ floor ของ Max. sinus ใน X-ray แสดง radiolucent
Implant ที่เห็นคือ Blade implant ที่ทำให้เกิด Mucocele (Secondary mucocele: mucocele ที่เกิดภายหลังทำ Surgery)
ในระยะแรก เราจะยังไม่เห็น wall กั้น (คือเห็นเป็น Dome shape lesion ที่ floor เฉยๆ) แต่ระยะท้ายๆ lesion ชนิดนี้ใน X-ray จะเห็น wall แบ่ง Max. sinus ออกเป็น 2 compartment

ตัวอย่างของการอ่านภาพ CBCT
รูป A และ B คือการใช้ Panoramic view หา Man. canal
รูป C และ D ใช้ Cross section view จนพบ Mental foramen ลูกศรเขียวคือ path ของ Mental nerve
รูป H คือ การวาด path ที่สมบูรณ์ของ Inf alv nerve, Mental foramen และ ตำแหน่งการวาง Prosthesis


บทที่ 5 Complication ขณะ Surgery

รูปแสดง Facial plate fracture ครับ
การป้องกันการเกิดสถานการณ์นี้คือ ทำ Bone graft ก่อนในรูป B
ในรูป D คือการแก้ไขรอยทะลุโดยใช้ Autogenous bone graft

การเกิด Bone resorp จากการใช้แรงกดขณะ drill ทำให้เกิด pressure ตัด microcirculation ของ bone และ Overheat

Pressure necrosis จึงเกิดได้ใน Bone ที่มีลักษณะ dense มาก (Cortical plate หนา) นอกจากการ drill แล้วการ placement Implant ที่ใช้แรงหมุนมากเกินไป ก็ทำให้เกิด necrosis ได้
การแก้ไขคือ หมุนกลับ 1 มม. หลัง insert Implant ลงตำแหน่งแล้ว

รูปแสดงการใช้เทคนิค Tissue punch เพื่อ uncover ใน stage II surgery แล้วเกิดการตัด attached gingiva มากเกินไป
การป้องกันคือ ถ้าประเมิน Attached gingiva มีน้อยกว่า 3 มม. ไม่ควรใช้ Tissue punch แต่ให้ใช้ Lingual incision เพื่อ uncover Implant

ถ้ามีการใช้ PRF ต้องใช้เทคนิคการ Spin ที่ถูกต้องด้วย
(หลักการใช้ PRF อ่านได้ที่นี่ครับ https://goo.gl/Ho7DiW )

รูปซ้ายมือสุดของคุณหมอ แสดงการแยกชั้นที่ไม่ clear เกิดจากการ Spin ที่ไม่ถูกต้อง
ภาพ B แสดงการปั่นที่ถูกต้อง จะได้ PRF clot ดังในรูป C

รูปแสดงการเกิด Emphysema ในบริเวณ Orbit ครับ
รูป C แสดง Air-water syringe ที่วางผิดแนว คือ วางขนานกับ Implant ทำให้มีโอกาสดัน Air ขึ้นไปด้านบนได้
แนวการวางที่ถูกต้องคือ แนวตั้งฉากกับ Implant


การ Burn บริเวณริมฝีปากจาก ความร้อนขณะใช้ Handpiece ร่วมกับความรู้สึกชาจาก LA ทำให้เกิด injury

รูปนี้ก็ Burn ครับ แต่เกิดจากการใช้ Electrosurgery จนทำให้เกิด Overheat ที่เหงือกและ Bone
Bone necrosis แล้วตามด้วย Implant failure หลังทำ 2 wk

รูปแสดง Trauma ที่ Sublingual gland ครับ คือไปตัด duct ขณะฝัง Implant จนทำให้เกิด Ranula
รูป C ที่มีสายสีฟ้าคล้อง คือ การ identify Lingual nerve ก่อนจะตัด Sublingual gland ออก

Gross แสดง 70= Sublingual gland, 73= Submand gland, 71= Submand duct

บทที่ 6 ความผิดพลาดจากการวางตำแหน่ง Implant
หรือพูดอีกอย่างคือ การวางตำแหน่งที่ถูกเหมือนการติดกระดุมเม็ดแรกถูกนั่นเองครับ สมมติถ้าเราวางตำแหน่งได้ไม่ถูก จะทำให้ต้อง compromise ตามมาทั้งในแง่ Pros, Perio และการคงอยู่ระยะยาวของ Implant เอง

แสดงปัญหา Root-Implant proximity ถ้าตาม ideal ในระดับปลายรากต้องห่างกันอย่างน้อย 1.5 มม ครับ
รูป F นั่นคือ lesion ที่เกิด 4 ปีหลังทำ

นอกจากความใกล้กันเกิดแล้ว การวางตำแหน่งที่ห่างกันมากเกินไป ก็เกิดปัญหาได้ดังรูป
เกิดผล 2 อย่างคือ Overcontour ของ crown ทำให้เกิด Perio และ Occlusal table ที่ใหญ่ทำให้เกิด Cantilever ที่เกิดปัญหาทาง Pros และคนไข้จะ complain เรื่อง food impaction อยู่ตลอด

วิธีแก้ไข ถ้าอยู่ติดกับฟันธรรมชาติ คือ เรายอมให้เกิด Cantilever กับฟันธรรมชาติดีกว่าครับ โดยการสร้าง crown ให้ฟันธรรมชาติมี Occlusal table เพิ่มขึ้นแทน

ให้สังเกตปลาย Incisal edge นะครับ ในรูป A เป็น Cement retained crown ปลาย Edge จะอยู่แนวเดียวกับ Implant แต่ถ้าเป็น Screw retained crown ตำแหน่ง screw จะอยู่ที่ Cingulum อยู่แนวเดียวกับ Implant
และถ้าเป็นบริเวณฟันหลัง ตำแหน่ง Implant จะอยู่ในแนว Central fossa

รูปแสดงปัญหาของการวางตำแหน่ง facial มากเกินไปในฟันหน้า
Bone ด้าน facial ไม่พอ ทำให้ attached gingiva ไม่พอไปด้วย นอกจากนั้น Esthetic จาก Prosthesis จะทำได้ยากมาก
การต้องใช้ abutment ทำให้โลหะด้าน facial ต้องถูกกรอตัดออก ความแข็งแรงของ abutment จึงลดลง
Lab จึงต้องชดเชยความแข็งแรงของโลหะด้วยการขยายความกว้างในแนว mesio-distal ทำให้ได้ abutment ที่บานออกมากกว่าขนาด Implant (รูป F ลองสังเกตฐาน metal abutment สีทองกับส่วน Implant สีเขียว)

ในทางตรงข้าม ถ้าฝัง Lingual มากเกินไป
เมื่อสร้าง Prosthesis ลูกศรแสดงระยะ Cantilever ที่ยื่นออกมาจากตัว Implant (Porcelain สี pink คือการ bake เพื่อทดแทน root ใน Pros ชนิด FP-3 ครับ)

รูปแสดงตำแหน่งฝัง Facial มากเกินไป แต่อันนี้ Pros เป็น Removable ครับ ในรูป A
ส่วนรูป C ฝัง Lingual มากเกินไป

ขอบ flange ของฟันปลอมจะกดเหมือนการเกิด Overextension ในรูป B
ส่วนการวางตำแหน่ง Lingual มากเกินไปจะทำให้รบกวนที่ของ acrylic ครับ ฐานฟันปลอมบริเวณนี้จะบางกว่าปกติเพราะถูกรบกวนจากตำแหน่งของ attachment (ในรูปคือระบบ Locator)


รูปนี้ให้สังเกตระดับ Implant เทียบกับ CEJ ของฟันธรรมชาติข้างเคียงครับ
รูป A คือการวางตำแหน่งลึกลงไป 4 มม. เทียบกับ CEJ
รูป B คือวางตำแหน่ง Implant ลึกลงไป 2 มม. เทียบกับ CEJ
B คือ Ideal กว่า A เพราะ A จะเกิด Perio ได้มากกว่า (Bone loss ทำให้เกิด probing depth มากกว่า และ Anaerobe bacteria colonize ได้ดีกว่า

แสดง Ideal Implant placement สำหรับ Removable Prosthesis (Occlusal view)

แสดง Implant ที่ฝังตื้นเกินไป (สังเกตระดับ CEJ)
รูป B,C คือ Screw หักครับ
ส่วนรูป D คือปัญหาในการสร้าง crown ให้ได้ Emergence profile ที่ดี (เพราะมี space ให้ Clinical crown น้อยเกินไป)

แสดงปัญหา Interocclusal space ไม่พอครับ
ถ้า Diag ได้ก่อนเริ่มทำ เราจะแก้ไขด้วยการทำ Osteoplasty ได้
แต่ถ้า Diag ไม่เจอ เราจะพบปัญหาตอนสร้างฟันปลอมที่ได้ความหนาของฐานบางมาก ฐานที่บางจะทำให้ยึดซี่ฟัน acrylic ไม่อยู่และ ฐานบางกว่า 2 มม. เกิดการแตกร้าวบ่อยครับ

แสดงการสร้าง Surgical stent ที่มี accurate น้อยเกินไป (Nonliming design)ทำให้การวางตำแหน่งพลาดได้ง่าย
ไม่สามารถวาง Angulation ได้เลย

อันนี้คือ Stent ที่ accurate ขึ้น (Partial limiting design) แต่ยังจำกัดตำแหน่งในการวางหัว drill ในขั้นตอนท้ายๆ ทำให้มีโอกาสผิดพลาดในแนว Bucco-lingual ได้สูง

Stent ชนิดที่ accurate มากขึ้นไปอีกคือ Complete limiting design ครับ และเหนือไปกว่านั้นคือ CBCT Surgical Guides
CBCT Surgical Templates จะแบบออกเป็น 3 ชนิด ตาม accuracy คือ 1.Tooth-supported > 2.Bone-supported > 3.Tissue-supported
ปัจจุบัน Surgical Templete ที่ได้รับการยอมรับว่าดีที่สุด คือ การใช้ Surgical Template ร่วมกับการวางตำแหน่งแบบ Virtual planning โดยการใช้ CBCT data
บทที่ 7 การเกิด Bleed ขณะทำ
บทนี้จะเกี่ยวข้องกับโรคทางระบบของคนไข้, การใช้ยาบางชนิดที่มีผลต่อการแข็งตัวของเลือด และการ surgery ไปโดน Artery สำคัญๆ ที่ต้องระวังครับ (รวมถึง Vein และ Capillary)

แสดง Protocol ในการใช้ยากลุ่ม Anticoagulant

นอกจากยาแล้ว ยังมีข้อควรระวังเรื่องการใช้อาหารเสริมและสมุนไพรบางชนิดของคนไข้ด้วยครับ

แสดงการห้ามเลือดโดยใช้ Gauze+Lidocaine 2% with epinephrine+Pressure

การใช้ Tranexamic acid ในรูปคือ ฉีดเข้าไปบริเวณ flap ที่ bleed ครับ

อันนี้ผมเพิ่งเคยเห็น น่ากลัวมาก คือ ฝังไปโดน Sublingual artery ครับ
อันตรายของมันคือ เกิด Sublingual hematoma ไป obstruct Airway
สังเกตฟิลม์ OPG ระดับ Implant อยู่ต่ำกว่า CEJ ของฟันข้างเคียงมาก ปลายของ Implant จึงทะลุ Lingual plate ไปโดน Artery
ในรูป D การใช้ Forceps ดึงลิ้นคนไข้ออกมาเพื่อ stop bleed และเปิด Airway รอทีม EMS มาถึงครับ

รูป Gross แสดง Artery ที่เกี่ยวข้อง และ Film แสดงการ Perforate ชัดเจน
รูป D แสดงการใช้ Bimanual pressure เพื่อหยุด bleed โดยใช้นิ้วชี้กด Gauze ใต้ลิ้นและนิ้วโป้งกดจาก Extra-oral บริเวณใต้คางในทิศดันขี้น


อันนี้แสดง notch ที่เห็นใน film คือทางเชื่อมต่อของเส้นเลือดผ่านผนัง Bone ที่เป็น Sinus wall ครับ มันเป็นเส้นที่เชื่อมต่อระหว่าง Post alv artery กับ Infra orbital artery
คือถ้าตอนทำ Sinus lift แล้วเราไม่วางแผนตรงนี้ก่อน เวลาเปิดผนัง wall เส้นเลือดนี้จะขาดแล้ว bleed ครับ วิธีแก้ไขใช้ Pressure หรือ Electrosurgery


บทที่ 8 Complication จากการติดเชื้อ
เริ่มด้วย Basic ของการเกิด Infection ทั้ง Risk, Factor (Systemic,Local,Operator) และการ Classify surgical wound ออกเป็น 4 Class (Clean—> Dirty/Infected wound)

Criteria การ diff dx ระหว่าง Edema กับ Cellulitis กับ Abscess

ทบทวนคำศัพท์ที่พบได้บ่อยในเรื่อง Infection

รูปแสดงระยะ Cellulitis

อันนี้คือเป็น Abscess แล้ว

Film แสดงลักษณะของ Osteomyelitis ที่มี Osteolytic changes

รูปแสดงการเกิด multiple sinus tracts ของ Osteomyelitis จาก Subperiosteal implant

รูป A แสดงการเกิด Cavernous sinus thrombosis เคสนี้เริ่มมีอาการ 72 ชม.หลังทำฟัน
อาการเริ่มด้วย ปวดหัวอย่างรุนแรง มีไข้สูง หนาวสั่น ชาที่เปลือกตาบนและล่าง ไม่สามารถเคลื่อนตาขวาได้ มีจุดเลือดออกที่ผิวหนังบริเวณจมูก
ส่วนรูป B คือ Cavernous sinus thrombosis infection เช่นกัน มีอาการบวมรอบตา ข้างที่ infected

ทบทวนความรู้พื้นฐานของ ABO drug ในรูปคือ Augmentin
Clavulanic acid ที่มีโครงสร้างคล้าย Beta-lactam ring จะทำหน้าที่เป็น Suicide molecule จับกับ Beta-lactamase ของ Strep aureus แทน

รูปแสดง Sterile technic ครับ ท่านอาจารย์ Resnik แสดงแบบเอง
ขอบเขตที่เส้นสีแดงขีด คือขอบเขตของ Sterile area

ท่านอาจารย์สอนตั้งแต่ใส่ถุงมือกันเลย

จาก Bleed มาสู่ Nerve
บทที่ 9 อาการชาที่เกิดจาก Implant
จุดประสงค์ของบทนี้คือ การป้องกันอาการชาครับ

Film แสดงการวางตำแหน่ง Implant ที่ลึก (เทียบระดับ CEJ) และปลายที่รบกวน Mand canal

ถ้ามอง Cross section view ในรูป B รูเปิดที่เห็นด้าน buccal นั่นคือ Mental foramen ครับ
รูป E ภาพ CBCT แสดงการยืนยันชัดเจน

รูป A ด้าน Palatal คือ Nasopalatine canal ที่มีขนาดใหญ่มากในเคสนี้
รูป C คือ ความจำเป็นต้องฝัง Implant ในตำแหน่งนี้ครับ อันนี้คือ ฝังหลังจากย้าย Nerve ออกไปแล้วนะ
พบว่าตำแหน่งนี้ไม่ค่อยมีปัญหา อาจชาแบบ short term เพราะมักมี innervation จาก nerve อื่นเช่น Greater palatine nerve มาเลี้ยงภายหลัง

ให้ดูใกล้ๆ อีกครั้ง Nasopalatine canal ที่เชื่อม floor of nose กับ anterior palate

รูปแสดงตำแหน่งรูปเปิดของ Infraorbital nerve ในรูประยะห่างจากสัน bone ridge ประมาณ 16 มม.
(ความยาวเข็มสั้น คือ 21 มม. ถ้าแทงเข้าไปยังเหลืออีก 5 มม.)

เทียบกับภาพใน field จริงๆ

ทบทวนตำแหน่งของ Mand nerve และ branches ลองดูว่า อะไรอยู่หน้าต่ออะไร ในขณะที่ทอดข้าม Ascending ramus
รูป B แสดงภาพ 3D

รูปนี้ไม่ได้แสดง Lingual nerve 2 เส้นในคนเดียวกันนะครับ แต่ให้ดู variant ว่า บางครั้งมันอาจอยู่สูงมาก ถ้ามันสูงขนาดนี้ เวลาลง incision หรือ ดึงรั้ง flap จะมีโอกาส injury ได้สูงมาก
ระดับ Superior lingual alveolar crest เทียบกับแนวที่ Lingual nerve ทอดขนานแสดงในรูปข้างล่าง

การ Healing ของ nerve คือ การหายจากอาการชา
จะ Heal ได้ดีขนาดไหน จะขึ้นกับระดับของการถูกทำลาย (degeneration) อีกที
เทอม Wallerian degeneration หมายถึง injury ที่เกิดการตัดขาดของทั้ง axon และ myelin sheath
สังเกตว่า ระดับที่รุนแรงน้อยสุด –> Neurapraxia จะเป็น injury แบบ Segmental degeneration คือทำลายเฉพาะ myelin sheath ทำให้การนำกระแสประสาทช้าลง หรือ tempoary block เท่านั้น
แต่ถ้าระดับที่รุนแรงขึ้น—> Axonotmesis และ Neurotmesis อันนี้จะเกิด Wallerian degeneration ครับ การ Heal หลังจากเกิด degeneration type นี้จะไม่ปกติ คือถ้าหายคือจะหายช้ามากๆ เป็นหลาย wk ถึงหลายเดือน หรืออาจไม่หายเลย

รูปแสดงการใช้ Dexamethasone หยอดลงใน field ที่ nerve injury โดยตรง
วิธีนี้คือการแก้ไขในเคสที่รู้ทันทีว่า injury ขณะฝังนะครับ การให้ Steroid คือหวังผลในการลด inflammation เพราะถ้าเกิดอาการบวม nerve ยิ่งถูกกดจากอวัยวะโดยรอบ ยิ่งเกิด trauma

แนวทางการแก้ไขหลังเกิดอาการชา หรือ รู้ทันทีว่าเกิด nerve injury
Step สุดท้ายคือ F/U Care

รูปอธิบายความไม่มี accuracy ของ Film OPG ที่มีการขยายขนาดของ anatomical landmark ต่างๆ มีผลให้การเลือกขนาดและความยาวของ Implant ผิดพลาดตามไปด้วย

เทียบกับการใช้ CBCT จะเป๊ะกว่า คือ ภาพไม่มี magnification และอยู่ใน ratio 1:1
นอกจากนั้น Software ยังสามารถวาด Prosthesis ลงไปได้เที่ยงตรงมาก

อันนี้คือ Surgical stent ที่ locate ตำแหน่ง Mand canal และ Mental foramen ลงไปด้วย เป็น stent ที่ลอกรายละเอียดทั้ง Bone, tooth อยู่ในตัวเดียวกัน

แสดงตำแหน่ง Ideal คือ ปลาย Implant ห่างจาก nerve มากกว่า 2 มม.

Software แสดง Safety zone

ทำไมต้องเป็น 2 มม.?
คำตอบคือ injury ชนิด Neurapraxia สามารถเกิดขึ้นได้จาก Compression necrosis ระยะที่ใกล้ไม่ถึง 2 มม. แม้ไม่ invade nerve โดยตรง แต่แรงจากการกดจะส่งผ่านกลไก Compression-related injury ได้
รูปแสดง Ideal placement คือ drill ลงได้ตาม path

รูปนี้คือ drill เอียงห่างจาก path ที่ถูก
มีข้อแนะนำว่า ไม่ควรงอข้อมือในขณะ drill เพราะทำให้การเล็งมุม Handpiece ผิดพลาดไป

การใช้ Coolant ช่วยลด heat และหัว drill ที่มีการออกแบบให้ระบายความร้อน

ข้อแนะนำที่ควรระวัง
ไม่ควรทำ Immediate placement ในบริเวณ Lower premolar เพราะ Variation ของ Mental foramen สูงมาก การศึกษาพบรูเปิดนี้อยู่เหนือปลายราก premolar ได้ถึงเกือบ 40%

การ drill โดยใช้ความรู้สึกของ tactile sense ก็ไม่ควรทำครับ เพราะ Inf alv canal พบว่า 28% ไม่มี cortical plate ล้อมรอบ ดังนั้นการใช้ sense เสี่ยง Perforate สูงมาก

นอกจากนี้ยังมีความเข้าใจผิดอื่นๆ ที่ไม่ควรทำ เช่น
-การใช้ LA แบบ Infiltration technic เพื่อใช้ความรู้สึกของคนไข้เป็นตัวบอก ขณะ drill แทนการทำ Nerve block
-การวางตำแหน่งโดยใช้ปลายรากฟันข้างเคียงเป็นตัวบอกระดับ (แทนที่จะใช้จาก ข้อมูลอื่น เช่น CBCT)
-ดูการ degree ของการ Bleed ในระหว่าง drill (เพราะจริงๆ ตำแหน่งของ Inf alv artery กับ nerve อาจไม่ไปด้วยกันเป๊ะ และยังมี veins ที่ระดับเหนือว่า) ดังนั้น degree of Bleeding จึงใช้บอกระดับการ injury ต่อ nerve ไม่ได้
บทที่ 10 ข้อแทรกซ้อนหลัง Surgery

เหมือนการผ่าฟันคุดหรือถอนฟันยากๆ คือ อาการบวมจะ peak ใน 2-3 วัน และช่วงแรกจะใช้ Cold press
ส่วนอาการ Ecchymosis ถ้าเกิดขึ้น จะกระจายจากตำแหน่ง Surgical site ตามแรงโน้มถ่วงของโลก และค่อยๆลดลงโดยการเปลี่ยนสี สีจะเห็นชัดหลังทำ 3-4 วัน และถ้าคนไข้ถามว่า จะหายมั๊ยคะ? ให้ตอบว่าจะหายแน่นนอนแบบไม่มีร่องรอย ภายใน 2-3 wk ( การเปลี่ยนสี ตามรงควัตถุของ RBC คือ จาก Hemoglobin–>Bilirubin–>Hemosiderin)

ทบทวนกลไกของ NSAIDs

Protocol การจ่ายยาแก้ปวด อันนี้หมอต้องคนประเมินจาก Operation ที่ทำและจากประสบการณ์ Pain threshold ของคนไข้ร่วมด้วย

Protocol จาก WHO

ในเคสที่ฝังแล้ว เกิดปัญหา Root proximity ที่มากเกินไป การ recall เป็นระยะหลังทำ เป็นสิ่งจำเป็นมาก เพราะอาจลงเอยด้วยการมี lesion และฟันตาย


เคสนี้คนไข้แพ้ Ti ครับ เกิดผื่นบริเวณใบหน้าหลังฝัง จัดเป็น Delay type Hypersensitivity
การแก้ปัญหาคือ Remove Implant ออกทั้งหมด

เคสนี้มีเหงือก growth เข้ามาปิด cover screw บางส่วน เกิดจาก การไม่ได้ปรับ tissue surface ของ TP ครับ การแก้ไขคือ กรอ relief ด้านที่กด

สังเกตการกรอ relief จะกรอเฉพาะบริเวณที่กด Implant โดยเว้นส่วนอื่นที่ไม่เกี่ยวข้องให้มี support ต่อ Removable Prosthesis อยู่

Implant 14 มีการเคลื่อนตัวเข้าไปอยู่ใน Max. sinus

เคสนี้ก็ขยับ แต่เคลื่อนสูงขึ้นไปอีก คือไปที่ Cranial base เลย

แสดงสาเหตุที่ทำให้เกิดการ Displace 4 ประการ คือ
A Bone density คุณภายแย่มาก
B ต้องทำ Bone graft ก่อน แต่ไม่ทำ
D จาก Peri-implantitis
E ไม่มี bone support


การแก้ไข กรณีเคลื่อนเข้า sinus ครับ ใช้วิธีส่องกล้อง FESS (Fucntional Endoscopic Sinus Surgery)

เคสนี้ Implant เคลื่อนหลุดเข้า Sublingual space ครับ เกิดจาก Lingual plate ที่บางและมี Undercut ทำให้เหมือนวาง Implant ในตำแหน่งที่ Bone คุณภาพแย่มาก

อันนี้โหดหน่อย คือแสดงการเคลื่อนของ Graft จากการทำ Sinus lift ลงไป Submand gland ครับ
กลไกการ migrate คือ ผ่านมาทาง Lymphatic vessels ที่เชื่อต่อจาก Max sinus กับ Submand lymph node
การแก้ไขคือ ต้องควัก Submand gland และ lymph nodes ออก

เคสนี้คือ แสดงการไหลของวัสดุพิมพ์ปาก หรือ วัสดุ Reline เข้า Max sinus ครับ
เป็นข้อควรระวังมากๆ ในกรณีที่ทำหลังจากถอนฟันทันที โดยเฉพาะฟัน 1st molar บน ที่ MB root และ P root ใกล้ Sinus มาก เวลาผสมวัสดุควรใช้ viscosity ที่ไม่ flow มากเกินไป
การแก้ไขในกรณีที่เข้าไปแล้ว คือ refer หมอ Maxillo อย่างเดียวครับ

บทที่ 11 แผลเปิด (การหายของแผลไม่เป็น Primary closure)
บทนี้จะกล่าวขึ้นอาการแทรกซ้อนที่เกี่ยวกับการจัดการบริเวณ surgical site ซึ่ง Incisal line opening (ILO) พบ prevalence ได้ถึง 4.6-40% ใน 2-stage approach
(ข้อแตกต่างของคำว่า prevalence กับ incidence คือ ช่วงเวลาที่เราสนใจ ถ้าใช้ prevalence คือ ตัดช่วงเวลาเป็นจุดแบบ Crossectional study ณ เวลาใดเวลาหนึ่ง แต่ถ้า incidence จะเป็นช่วงเวลารวมใน 1 ระยะเวลาเป็น Cohort study หน่วยของ incidence จึงต้องเป็น จำนวนเคส/เวลา เสมอ)

รูปแสดง Classification ของ ICO จะใช้การมองเห็น cover screw เป็นตัวแบ่งจาก มองไม่เห็นเลย–>เห็น Partial–> เห็นแบบ Complete

เป็น 5 ระดับ จาก 0–> 4

บทนี้จะทบทวนกลไกการหายของแผล, การลง incision, การ suture ไปจนถึงการตัดไหมที่ถูกวิธี
เช่น ให้คนไข้ mouth wash ด้วย CHX 0.12% ก่อนและหลังตัดไหม, ตำแหน่งตัดไหมและทิศทางในการดึงไหมออกตามรูป

ทีนี้ถ้าเกิด ILO แล้วการจัดการจะทำตาม Protocol นี้ครับ คือ ท่านอาจารย์แนะนำให้ช่วยให้แผลที่เปิดนั้นหายแบบ Secondary intention มากกว่าการพยายาม Resuture มันอีกครั้ง

บทที่ 12 ถ้าต้องทำ Bone graft แล้วมีปัญหา เพราะถือเป็น procedure ที่ใช้ skill สูง
ท่านอาจารย์ใช้คำว่า Highly technic-sensitive process

รูปแสดง Sagittal view ของการเกิด Bone loss ใน Maxilla และ Mandible เปรียบเทียบทิศทางการ resorp ในรูปเดียวกัน
การละลายจะเกิดจาก lateral (buccal) ของทั้ง 2 arch จนทำให้มีแนวโน้ม arch relationship เปลี่ยนไปเป็น Posterior crossbite (หมายถึงการละลายบริเวณ Alveolar process นะครับ แต่ basal bone ยังอยู่)
(รุป x-ray ถ่ายสะท้อนแสงไปหน่อยครับ sorry)

ข้อนี้อธิบายว่า ปัญหาความไม่เข้าใจในการใช้ Bone graft คือ ไม่รู้ว่าจำเป็นต้องทำก่อนฝัง Implant หรืออีกกรณีคือ รู้ว่าต้องทำแต่แอบลักไก่ ฝังไปเลยโดยละเลย ทำให้ขบวนการต่อมาต้อง compromised โดยไม่จำเป็น เช่น เอาละ เราลดขนาด diameter/ลดความยาว เอา หรือ ลดจำนวน Implant ลง ทำให้ต้อง compromised แรง, compromised Pros แล้ว failure ตามมา

รูปนี้แสดงการตัดสินใจจัดการกับรูปร่าง Bone แบบ Division B
ทางเลือกที่ 1 คือ ปรับรูปร่าง Bone ใหม่ แต่ได้ Pros แบบ FP-3
ทางเลือกที่ 2 คือ ใช้ Bone เดิม แต่ลดขนาด diameter Implant
ทางเลือกที่ 3 คือ ทำ Bone graft และไม่ compromised Implant และ Pros

รูปแสดงการประเมินความโปร่งแสงของเหงือกโดยใช้การมองเห็นจากสีของ Probe ว่าจัดอยู่ใน Thick หรือ Thin biotype การนำไปใช้คือ ทำให้มองเห็นว่า Esthetic หลังทำว่า สอดคล้องกับความคาดหวังที่คนไข้มีอยู่หรือไม่?
การแก้ไขกรณีเหงือกเป็น Thin biotype คือทำ Subepithelial connective tissue grafting

ในรูปแสดงแผ่น membrane ที่ใช้ทำให้เกิด Bone regeneration โดยกันไม่ให้ Epithelium จากด้านบน growth ลงมา (GBR membrane:Guided Bone Regenertion)
GBR membrane มีทั้งชนิด nonresorbable และ resorbable
ที่แสดงในรูปนี้คือชนิด nonresorb ในเล่มท่านอาจารย์อธิบายถึงการแบ่งชนิด nonresorb ออกเป็น e-PTFE และ e-PTFE (Polytetrafluoroethylene ชนิด expanded และ dense)
เดิมๆ ถ้า membrane expose แบบนี้จะเสี่ยง fail สูง แต่การศึกษาปัจจุบันยอมรับได้ถ้าเป็น d-PTFE

รูปแสดง Bone graft แบบใช้กระดูกของคนไข้เอง แต่ fail
สังเกตการแยกชั้นทั้งทาง clinic และ X-ray
เคสนี้ fail เพราะใช้ Bone block ในเคสที่มี Vestibule ตื้น ทำให้ flap move ตลอดเวลา จึงเกิด ILO แล้ว Graft ไม่ติดตามมาครับ

อันนี้ตำแหน่งที่ Plan ไว้เป็นแบบนึง แต่เวลา Graft แล้วปรากฎได้สัน rige กว้างไม่พอครับ เช่นการเลือกวัสดุและเทคนิคไม่เหมาะสม เช่น เกิดการดึงรั้ง Incision line, วัสดุที่ Graft เกิดการเคลื่อน, การไม่ fit ของ Temp Pros จนเกิดแรงดันให้ Graft ขยับ เวลาฝังตำแหน่งเลยต้อง compromise อย่างที่เห็น

แสดงการ Relax flap ทำให้ flap สามารถยืดได้ ไม่มี tension เวลาเรา suture

แสดงการใช้ nonresorbable GBR membrane ชนิดที่มี Ti เสริม
การใช้ Ti เสริม เหตุผลคือเพื่อ strength ของ memb ไม่ให้ collapse ตลอดเวลาจนกว่า Graft จะติด
ให้สังเกตการวางแผ่น memb ในรูป D จะใช้หลัก 2 มม. คือ ให้มีระยะห่างจากรากฟันข้างเคียง 2 มม. ครับ เพื่อให้ soft tissue สามารถเกิด barrier และ Biological width ในฟันธรรมชาติในระหว่างการ Healing
หลัก 2 มม. นี้จะไม่ค่อย serious สำหรับ Resorbable memb ครับ
(สังเกตส่วนบนของ memb ชนิดที่ nonresorb และเสริม Ti จะไม่ชิด incision line มากเกินไปเพื่อป้องกันการเกิด ILO)

แสดงการวางตำแหน่ง memb ไม่ดีครับ เกิด Ti ที่ support membrane โผล่
ถ้า expose แบบนี้ ต้องบอกคนไข้ก่อนครับ คือต้อง clean ให้ trauma น้อยที่สุด คือ เรามีช่วงเวลา 6 wk ถ้าโผล่แบบนี้ แต่ไม่ infect ปล่อยให้อยู่ต่อได้ แต่ถ้าระหว่าง 6 wk แล้วมี sign of infection ต้องเอา membrane ออกก่อนสถานเดียวครับ

CBCT แสดง variation แนว Crosssection บริเวณ Symphysis (สังเกตว่า มีรอยคอดใน buck-lingual width)
ความสำคัญที่ให้ดูคือ เวลาเราทำ Block graft เราจะใช้ Bone เป็นชิ้นๆ ตามขนาดที่ต้องการจากบริเวณนี้ครับ ข้อมูลนี้มีความสำคัญที่ต้องรู้ให้ได้ก่อน ว่า Donor site ที่ Symphisis จะมี Bone block ให้เราพอหรือไม่?
คือ เกิดมี Bone ไม่พอแล้วเราเปิดไปเอา Bone จากบริเวณนี้นี่งานเข้าเลยครับ Bone ที่ได้ก็ไม่พอ แถมตัดออกมาแล้ว ความแข็งแรงของ Symphysis ลดลง–> Jaw Fx

รูปอธิบายการไม่ปรับพื้นที่บริเวณรับ Bone graft ก่อน แต่ยิง screw ไปดื้อๆ เลย ทำให้ Cortical graft ไม่เกิด angiogenesis นอกจากนี้ recipient ที่ไม่ได้รับการปรับแต่งให้รองรับอย่างพอดี ทำให้เวลายึด graft จะเกิด micromovement และ failure ในที่สุด

แสดงการ trim ของ Cortical graft ให้เป็น Bevel edge เสมือนเป็นชิ้น Inlay ให้เข้ากับ recipient site ได้พอดี ไม่มี space เยอะเกินไป
และรูปล่าง คือ ต้อง fix screw ก่อนที่จะวาง graft ลงไป (หลีกเลี่ยงการวาง graft แล้วเจาะเลยบน recipient site)

แสดง Failure จาก micromovement ของ Block bone graft
ถ้าระหว่าง surgery เกิดการขยับ ต้องเปลี่ยน screw ให้ใช้ขนาดใหญ่กว่าเดิม
แต่ถ้าเกิดในช่วงรอ Graft ติด ต้องรื้อ screw และ Block bone ออก แล้วจึงรอเวลาทำใหม่อีกครั้ง

เคสนี้กลัว Graft ขยับครับ ใช้ screw ยาวจนทะลุ lingual cortical plate
ตำแหน่งที่ลูกศรชี้ในรูปแรกคือหาง screw ที่ทะลุด้าน lingual
ส่วนรูปร่าง แสดงการใช้ CBCT หาความยาว screw แบบความยาว ideal คือ ยึดจาก buccal cortical plate ถึง lingual cortical plate พอดี

สังเกต Upper TP ชิ้นนี้ไม่มี labial flange เพื่อไม่ให้มี pressure ลงบริเวณที่ทำ Bone graft
Pressure ใดๆ ที่กดและทำให้ Block bone graft มี micro movement = 25 micron จะทำให้ Final graft volume ลดลงไป 40% ครับ
รูป D คือ Temporary Pros ที่ไม่มีแรงกดเลย สังเกตว่า เมื่อถอดออก tissue ไม่มีรอยกดตามรูปร่าง Prosthesis

รูป A แสดง screw ที่มองเห็นร่วมกับการมี Bone loss เกิดจาก Temp pros ในรูป B ที่ไม่ได้ทำการกรอ relief ให้เกิด space มากพอ
Prosthesis ในรูป C และ D คือ Essix appliance ใช้การได้ retention จากฟันเหมือน tray ฟอกสีฟัน เนื่องจากเป็น Temporary tooth support ซึ่งไม่ได้อาศัย tissue support จึงขจัดปัญหา Excessive pressure บนสัน ridge ที่ถูก augment ได้

บทที่ 13 Complication ที่มักเกิดบริเวณฟันหลังบน
เหตุผล 2 ประการที่ต้องเขียนอุทิศให้เฉพาะ area นี้เป็นบทแยกต่างหาก คือ
- การสูญเสียฟันหลังบนที่เกิดขึ้นได้มาก (ใน US อย่างน้อย 4 คนใน 10 คนจะไม่มีฟันหลังบนอย่างน้อย 1 ซี่
- บริเวณนี้มี Max sinus ซึ่งปัญหาจะเกิดขึ้นมากเพราะต้องเกี่ยวพันกับอวัยวะนี้

กลไกการขยายขนาดของ Max sinus หลังฟันหลังบน missing จากการเพิ่มของ Osteoclastic activity ภายใน Schneiderian membrane (Periosteum ที่บุรอบ Max sinus) ทำให้ช่องว่างนี้ขยายใหญ่ขึ้น

อธิบาย definition ของ Schneiderian memb

ในทาง Histo ครับ มันคือ Pseudostratified columnar epithelium ที่พวกเรารู้กัน
แต่ละ cell จะมี cilia คอย clean mucous จาก gland ในรูป

จากรูป B พอเปิด wall ของ Bone ออกมาจะเห็น membrane (สี Dark blue) ตามรูป C ครับ membrane จะมี 2 layer
layer ที่มองเห็นจากด้านนอกคือ Serous layer ส่วนชั้นบนที่อยู่ข้างในคือ Mucoid layer
(ชั้น Mucoid layer ที่เกิด Mucous retention cyst ที่เห็นจาก X-ray เป็นรูป Dome shape ถ้ายังจำ Oral med ได้)

เวลาเปิด Wall นี้มันจะมีเส้นเลือดที่ต้องระวังอยู่จุดนึง เป็นเส้นที่ anastomose ระหว่าง Post sup alv a. กับ Infraorbital a.
ในรูป C ใน CBCT ภาคตัดขวางใน frontal plane จะเห็นเป็น notch ชัดครับ ตรงลูกศรชี้

รูปนี้ตัวขวางในแนว Bird’s eye view แสดง Wall ทั้ง 6 ด้านของ Max sinus (รูปพีระมิดชี้ออกที่มีฐานที่เลข 3)

ทีนี้เรามาดูความผิดพลาดที่เกิดจากการออกแบบ เพื่อหลบการ invade Max sinus กันครับ
เคสนี้ฝังไปทาง Distal เยอะมาก เพื่อหลบ Sinus ที่มี Pneumatize บริเวณซี่ 6 แต่ไปเจอตอ ตอนทำ Crown ครับ เกิด Mesial cantilever มหาศาล –> Fail

เคสนี้หลบโดยการใช้ขนาดความยาวที่สั้น—> Fail

เคสนี้บอกไม่สนอ่ะ เอาความยาวปกติไปเลย–> ทะลุ Floor of Antrum–> Fail

ท่านอาจารย์ Misch เลยออก Protocal ในการเข้าไปจัดการกับ Sinus ครับ โดยยึดหลัก 4 องค์ประกอบ คือ
1.ความสูงของ Bone ที่มีอยู่ระหว่าง Floor of Sinus กับ crest of residual ridge ในตำแหน่ง ideal implant position
2. Surgical appoach
3. Ideal Bone grafting material
4.Time ที่ปล่อยทิ้งให้ Healing ก่อนต่อ Prosthesis
จึงแบ่งออกเป็น SA-1 –> SA-4 (ในรูปแสดง SA-3)

รูป A คือตอน Planning ครับ Window ที่จะทำการเปิดคือขอบเขตเส้นสีเหลือง และจะกำหนดระยะ 15 มม.ขนานกับ residual ridge ได้ เราต้องมีตำแหน่ง Pros ก่อน ( รูปคือสีเขียวและสีน้ำเงิน)
ขอบของ Window ต้องห่างจาก tuberosity นับจาก Implant ตัวสุดท้ายทาง Distal สุดไม่น้อยกว่า 5 มม.
จุดสีแดงในรูปล่างสุดคือ การกำหนดตำแหน่งปลายรากฟันธรรมชาติข้างเคียงเพื่อออกแบบแนวในการตัด Bone ครับ

รูป A เป็น X-ray แสดง Void ที่เกิดตรงกลาง Graft ที่ delivery เข้าไปครับ
รูป B มี Void เกิดบริเวณ Floor
รูป C แสดงการใส่ Grafting material เป็นชั้นๆ แล้วค่อยๆใช้เครื่องมือ pack
ส่วน D และ E แสดงทิศทางการ insert Syring ฉีด Graft ครับ เทคนิคที่ถูกต้องคือ inferior&anterior

ข้อแทรกซ้อนที่พบหลังการทำ Sinus lift คือ อาการชาบริเวณที่ Infraorbital nerve ไปเลี้ยง
- คือจาก Anatomical variation ปกติ foramen จะอยู่ต่ำกว่า lower orbital rim ที่ 6.1-7.2 มม. แต่ในบางรายพบได้ต่ำกว่าคือ 14 มม. จาก Orbital rim
- คนไข้ที่ Maxilla bone resorp มากๆ ยิ่งทำให้การทำงานเข้าไปใกล้ foramen นี้มากขึ้น

บริเวณที่ควบคุมด้วย V2 จะเกิดอาการชา

แสดงการทำงานด้วย Retractor ชนิดฐานกว้างเพื่อหลีกเลี่ยง nerve trauma

ข้อแทรกซ้อนหลังทำต่อมา คือการเกิด OAC ครับ
การแก้ไข คือใช้การหมุน flap เข้ามาปิด ท่านอาจารย์แนะนำให้ทำ Tension free rotate flap จากทางด้าน lingual และ Relax flap จากทาง buaccal เข้ามาช่วยปิด
ใช้ไหมเป็น Vicryl และนัดตัดไหมโดยทิ้งไว้อย่างน้อย 2 wk

บทที่ 14 ข้อแทรกซ้อนจากการทำ Immediate placement
เรื่องนี้เป็นห้วข้อแทรกซ้อนสุดท้ายในงาน Surg ก่อนเข้าสู่ Pros ในบทต่อไปครับ

เนื่องจากเป็นงาน Immediate placement ดังนั้นข้อแทรกซ้อนจึงรวมข้อแทรกซ้อนจากการถอนฟัน และการใส่ Temporary Prostesis ซึ่งทำใน visit เดียวกันไปด้วยครับ
เริ่มด้วยการเปรียบเทียบแบบ Immediate กับการฝังแบบปกติ

ภาพ illustrate แสดงการทำ Pilot drill –> การ drill นำความยาว –> การกำหนด Angulation โดยใช้ระดับ Incisal edge จากฟันข้างเคียง

อธิบายบริเวณที่ทำ Immediate ยากสุด คือซี่ 4 บน เพราะ Angulation ของ Canine จะ prominent มาก ถ้าเรายึดมุมนี้แล้วฝัง Implant จะทำอันตรายต่อรากฟันซี่ 5 ทันที
หรือในทางกลับกันถ้าใช้มุมไปทาง Distal มากกว่า Canine (คือตาม Angulation ของซี่ 5) Implant ก็จะ trauma ราก Canine ได้เหมือนกัน
การแก้ไข คือ ใช้ความยาว Implant ที่สั้นลงและ Taper shape implant ในตำแหน่งนี้

อธิบาย Stress ที่เกิดจาก Occlusal loading จะเกิดได้มากที่สุดบริเวณ Crest module ของ Implant

External hex Fx

การออกแบบ Crest module ให้กว้างกว่า Outer thread diameter เพื่อแก้ไขปัญหานี้

การเลือกใช้ Graft material ที่สัมพันธ์กับ จำนวน Wall ของ Bone ที่เหลืออยู่หลัง Extraction
(RGM = Resorbable Graft Material)
รูป A แบบ 5 thick bony wall defect คือ แผลถอนฟันปกติที่มีผนังล้อมโดยรอบนะครับ เป็นแบบปกติสุดที่พบในการถอนฟันทั่วไป
ถ้าแบบแย่สุดที่ไม่มี Wall เลยซักด้าน (D) ชนิดนี้ต้องใช้ Block bone graft ยิง screw อย่างเดียวเท่านั้น

ในฟันหน้ามีข้อพิจารณาคือ ถ้าความหนาของ labial plate น้อยกว่า 1.5 มม. จะต้องใช้ Graft+GBR ครับ

รูปแสดงเครื่องมือวัด Stability โดยใช้เทคนิค การกำธรของคลื่น เรียก RFA (Resonance Frequency Analysis) scale จะออกมาเป็นหน่วย ISQ unit
Lateral micromovement ที่ยอมรับได้จะให้ค่าออกมาที่ 55-85 ISQ ครับ
เครื่อง RFA ถือเป็นการวัดที่ Objective และ Reliable ที่สุด (มากกว่า Percussion test หรือการวัดจาก Torque)

แสดงการ Gain Primary stability โดยการใช้ Osteotome (รูป B คือหลังใช้ Osteotome)

แสดงความผิดพลาดในการวางตำแหน่ง จะเห็นได้ว่า แม้จะมี socket ถอนฟันเป็นตัว guide แต่ตำแหน่งที่ฝังยังออกไป Distal มาก
ดังนั้นการใช้ข้อมูลจาก X-ray + Surgical stent จึงยังเป็นสิ่งจำเป็นอยู่ แม้ในเคส Immediate ก็ตาม

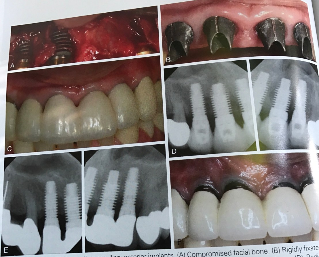
รูปแสดง Compromised Facial bone แม้หลัง Surgery เราจะได้ Attached gingiva พอ แต่หลัง F/U ไป 7 ปี พบ Crestal bone loss ดังแสดงใน Film รูป E (เทียบกับรูป D คือ X-ray ในขณะใส่ Provisional Pros)
หลัง F/U 7 ปี พบ Gingival recession
ความสำคัญของรูปนี้คือ การบอกสิ่งที่คนไข้อาจต้องเจอในอนาคตถ้าเลือกการทำ Immediate (แทนที่จะทำแบบ Delay ตามปกติ คือ การแผนการทำ Bone Graft แล้วรอเวลา) แม้ในช่วงแรก ผลออกมาเป็นที่น่าพอใจ (มี attached gingiva เพียงพอ และ Bone loss ในช่วงแรกดูปกติ) ถ้าในอนาคตเกิดผล Final อย่างที่เห็น จะทำใจยอมรับได้

จบภาค Surg ครับ
One thought on “ผิดคือครู สิ่งที่เรียนรู้จากอาจารย์ : รีวิว หนังสือ Misch’s Avoiding Complications Oral Implantology (Part I: surgery)”