
ครั้งแรกที่ฟัง lecture เรื่อง Invasive Cervical Resorption ผมยังเข้าใจผิดว่าโรคนี้เป็นลักษณะหนึ่งของ Internal root resorption ( internal root canal inflammatory resorption และ internal root canal replacement resorption) แต่จริงๆนั้น ไม่ใช่ เพราะ Invasive Cervical Resorption จัดอยู่ใน external root resorption รูปแบบหนึ่งต่างหาก
รูปข้างบนแสดง Clinical classification ของ Invasive cervical resorption ตามระดับ severity ส่วนใหญ่ Class 1 และ 2 จะเป็นการตรวจเจอโดยบังเอิญจาก routine check up ครับ (x-ray ไปเห็นพอดี) จึงพบว่า กว่าจะเห็นทางคลินิกจริงๆ จะพบการลุกลามมา Class 3 เยอะที่สุด
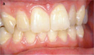
ตัวอย่างทางคลินิกของ Class 1 สังเกตซี่ 12 บริเวณขอบเหงือกที่มีลักษณะแดงและไม่เรียบ

film 12 แสดงรอยโรค Invasive cervical resorption Class 1

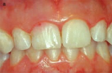
อันนี้คนละเคสนะครับ แสดงออก Class 2 คือ รอยโรคขนาดใหญ่ขึ้นจนฟันเริ่มมี pink discoloration

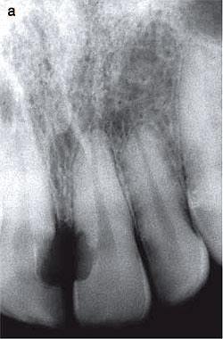
film ซี่ 11 lesion ซ้อนทับกับ pulp (อยู่ในแนว labio-lingual จึง superimpose กับ pulp แต่ยังไม่ expose pulp ครับ)

ความแปลกของ Invasive cervical resorption คือ มันไม่ค่อยจะ expose pulp ครับ จากรูปของอีกเคสนึง เป็น Class 2 จะเห็นว่า ถ้ารอยโรคอยู่ในตำแหน่ง proximal (ไม่ซ้อนทับ pulp) เราจะสังเกตเห็น radiopaque line บางๆ กั้นระหว่างรอยโรคกับ pulp (แสดงลักษณะของกลไกป้องกันตนเองของฟัน)

แม้ความคล้ายคลึงกับ caries จาก film ก็สามารถ diff diag ได้จากลักษณะของขอบรอยโรคที่ irregularity คล้ายๆ scallop pattern
เคสนี้มองในปากทางด้าน palatal เห็นฟันสีออกแดงเรื่อๆ ขนาดนี้เลย ลักษณะกลไกป้องกันตัวเองของฟันจาก film x-ray (radiopaque line) เป็นข้อบ่งชี้ว่า ฟันซี่นี้กำลังเผชิญกับ active form ของ tooth resorption

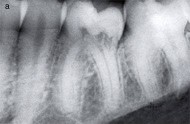
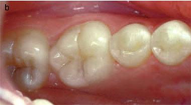
film ของฟันหลัง ที่เจอ Invasive cervical resorption Class 2

ในคลินิก มองไม่เห็นความผิดปกติใดๆ (ไม่มี discoloration)

Class 3 รอยโรคจะลุกลามไปทาง root แต่กินบริเวณไม่เกิน Coronal 3rd of root

แสดงรอยโรค Class 4 ซึ่งเป็นระยะที่แรงสุด รอยโรคลงไปเกิน Coronal 3rd of root ลูกศรแสดงขอบเขตของ pulp ที่เป็น radiopaque line

ภาพตัด section ของรากฟัน จะเห็นผนังที่หุ้ม pulp เพื่อแยกจากขอบเขตของรอยโรค ชัดมากๆ

etiology ของ Invasive cervical resorption ยังหาไม่เจอครับ แต่พบ Predisposing factors จาก chart จะเห็นว่า Pt ที่เคยมีประวัติ Trauma และเคยรับ Orthodontic treatment จะมี incidence สูงสุด (Sole factor คือ สาเหตุนั้นเดี่ยวๆ และ Additional factor คือ สาเหตุร่วมกับสาเหตุอื่น เช่น เคย trauma+ortho ด้วย เป็นต้น)

ข้อมูลที่นำมา เอามาจาก Paper ชิ้นเดียวครับ เรื่อง Invasive cervical resorption โดย Geoffrey S. Heithersay
โดยสรุป ลักษณะเด่นของ Invasive cervical resorption อยู่ที่ Histopathology ครับ ที่แยกมันออกจาก Internal root resorption และ Classicl external inflammatory (infective) root resorption ได้อย่างเด็ดขาด