
ภาพนี้อยู่ในบทที่ 22 เรื่อง Restoration of the Endodontically Treated Tooth (หนังสือเล่มนี้มีทั้งหมด 30 บท)
ข้อสังเกตของผมคือ แนวคิดในการ Restore ค่อนข้าง conservative มากๆ สังเกตว่า จากรูปข้างบนเป็นคำแนะนำสำหรับฟันหน้า กรณีที่ใช้ Post&Core จะมีเพียง 2 กรณี คือ
1.ในฟันหน้าที่ถูกทำลายไปมาก แต่ยังมี remaining structure มากกว่าหรือเท่ากับครึ่งหนึ่งของเนื้อฟันทั้งหมด และยังมี Ferrule และต้องร่วมกับ Pt มี Occlusion load สูงๆด้วยนะ (เช่น Deep bite, Parafuntional habit)
2.ฟันที่ไม่มี Furrule แล้ว
….นอกจาก 2 กรณีนี้จะไม่ใช้ Post&Core เลย
ที่นี้ในกรณีที่เป็น ฟันหลัง

ผมลองค้นหาชื่อของอาจารย์ที่เขียนบทที่ 22 นี้ พบว่ามี 3 ท่าน คือ
Didier Dietschi D.M.D, PhD เป็นหมอ Oper

Serge Bouillaguet D.M.D ก็เป็นหมอ Oper ครับ

Avishai Sadan D.M.D ท่านนี้เป็นท่านเดียวที่เป็น Pros ครับ แต่ชื่อวางไว้หลังสุดในผู้เขียนบทที่ 22 นี้ จากทั้ง 3 ท่าน ผมเลยเดาว่า อิทธิพลของ Pros เลยน้อยกว่า Operative (ซึ่ง Oper จะมีแนวคิดทาง Conservative มากกว่า ในขณะที่ Pros จะ Over engineer มากกว่า)

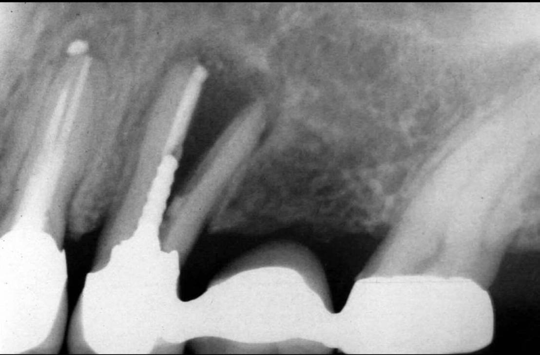
film Pa ฟิล์มนี้ก็นำมาจากบทเดียวกันครับ

ท่านอาจารย์ผู้เขียนอาจจะมีประสบการณ์เจอเคสแบบในฟิลม์นี้มาเยอะ เลย recommend ให้ใช้ Post&Core ในกรณีที่จำเป็นเท่านั้น คือ Pt มีแรงกัดสูงกว่าปกติ หรือ ฟันที่ถูกทำลายจนไม่มี Ferrule เหลืออยู่เลยเท่านั้นครับ
คล้ายๆ กัน คือ กรณีที่ใช้ Post&Core จะมีเพียงกรณีที่ฟันไม่มี Ferrule เท่านั้น